esonic@esonicimage.com
首页 > 临床学术中心 > 妇产
RTSWE无创出击,肌瘤靶向“清零”

子宫肌瘤是子宫平滑肌细胞异常增生形成的结节,育龄女性尤为多见。这些肌瘤就像是在子宫里悄悄长出来的“小石头”,多数情况下是良性且无症状的,因此很多女性往往会忽视它们的存在。

图片1.png

然而,无症状不等于无害。子宫肌瘤的持续增大可能会压迫膀胱、直肠,引发尿频、排便困难。更严重的是,它们还存在进一步发生病变的风险。


“小石头”的健康警报


图片2.png

若出现以上症状,可能是子宫肌瘤的征兆,需要我们及时关注。早发现,早干预。定期妇科检查是阻断"小石头"隐患的关键防线,可以帮助我们早期发现和处理子宫肌瘤。



超声下的“小石头”——无处遁行


要想知道自己子宫里有没有这些“小石头”?超声检查是诊断子宫肌瘤的首选方法,既不伤身体,也没有辐射,可以准确识别肌瘤。

1.检查方式

经腹部超声:适用于较大肌瘤,需憋尿检查,但对小肌瘤或后壁肌瘤敏感性较低。

经阴道超声:分辨率更高,适合小肌瘤及黏膜下肌瘤,但不适用于无性生活女性。

在医院就诊时,我们可以结合医生建议和自身情况选择合适的超声检查类型。

9bb39fcbf784445ebc90a8cf3e42396.png

2.“小石头”的超声特征

形态:边界清晰的“阴影团”,较大肌瘤后方可能模糊。

位置:黏膜下肌瘤向宫腔内突出,可能导致月经异常;肌壁间肌瘤位于子宫肌层内,最常见;浆膜下肌瘤向外突出,可能压迫膀胱或直肠。

其他特点:钙化(强回声)、丰富血流信号(提示生长较快)。

图片3.png



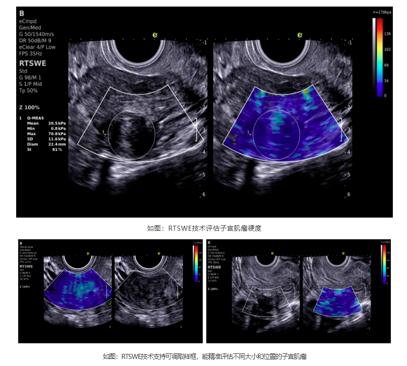
实时E成像:破解肌瘤良恶性的密码!


常规超声检查是筛查子宫肌瘤的首选方法,能够清晰显示肌瘤的位置、大小、数量及血流特征,为临床诊断提供重要依据。而病理活检仍是明确诊断的"金标准"。

如今,百乐博平台医疗ePascal东风系列搭载的RTSWE?实时E成像技术为肌瘤良恶性的鉴别带来了突破!该技术基于OmniSound? 平面波超快速平台,以25000帧/秒的采集帧频,实现最小0.4mm病灶的精准硬度测量。它犹如为超声检查赋予"智能触诊"能力,通过定量分析组织硬度,辅助判断肌瘤性质:

良性肌瘤:质地均匀,硬度较高(类似橡皮)

恶性肉瘤:硬度不均,整体更坚硬(类似石头)

变性肌瘤:如红色变性时,硬度会相应降低



RTSWE?技术优势


? 安全无创——零辐射、无痛苦,检查更舒适

? 减少过度检查——降低不必要活检
? 生育友好——专为备孕女性定制肌瘤评估方案

? 动态监测风险——敏感捕捉绝经后肌瘤的异常
? 指导精准治疗——为手术决策提供客观依据

cd2301cd65513af0501835669682402.png


潜伏在子宫里的"小石头",看似无害,却需要及时关注。百乐博平台医疗RTSWE?实时E成像技术以毫米级精度实现子宫肌瘤可视化诊断,突破性探测病灶质地特性,为临床决策提供新维度。该技术助力女性通过精准超声检测,获得更安心的健康保障。


温馨提示

近年来,国家医保局及各省市医保、物价部门基于指南规范,制定弹性成像的明确收费标准,利好这一超声定量技术服务百姓健康。


ea65b255ce38fcbe3c1d8a9a0f2de63.png


上一条 : 百乐博平台医疗(ESI)发布精准定量型智能AI超声 下一条 : 好孕“黄金期”|让子宫内膜会说话

?:400-0628060 ?:esonic@esonicimage.com

:百乐博平台影像-ESI

COPYRIGHT? 百乐博平台影像  京ICP备2022002181号-1

药品医疗器械互联网信息服务备案:(京)网药械信息备字(2025)第 00057 号