esonic@esonicimage.com

横版logo - 副本.jpg


肿瘤的临床解决方案

肿瘤的定义及危害

肿瘤是身体细胞无控制性增生的结果。它是一个广泛使用的术语,涵盖了许多不同类型的生长,包括良性(非癌性)和恶性(癌性)肿瘤。肿瘤可以发生在身体的任何部位,从皮肤到内脏器官。

肿瘤的特征包括:

1. 异常增生:肿瘤细胞以比正常细胞更快的速度无限制地分裂和繁殖。

2. 肿块形成:异常细胞的聚集可以形成可触摸或在医学影像上可见的肿块。

3. 侵袭性:恶性肿瘤能够侵犯并破坏周围组织。

4. 转移能力:恶性肿瘤的一个显著特点是其细胞可以通过血液或淋巴系统传播到身体的其他部位,形成新的肿瘤。

肿瘤对人体的危害因肿瘤的类型、位置、发展阶段以及个体差异而异。

以下是肿瘤可能引起的一些危害:局部压迫和阻塞、分泌异常物质、消耗营养、出血、感染、转移、疼痛、心理影响、经济负担、生活质量下降等。值得注意的是,并非所有肿瘤都会对人体造成严重的危害。有些良性肿瘤可能不会引起任何症状,也不需要治疗。然而,即使是良性的肿瘤,如果它们生长在关键部位或长得足够大,也可能对健康构成威胁。因此,定期体检和筛查对于早期发现和治疗肿瘤非常重要。


image.png

百乐博平台医疗肿瘤相关的技术介绍

??平面波超快速成像平台??平面波超微细血流显像??实时剪切波弹性成像??多模态复合成像??声速定量成像??超声造影??智能介入整体解决方案


平面波超快速成像平台

硬件系统架构颠覆、创新软波束形成

image.png

优异的二维图像

image.png

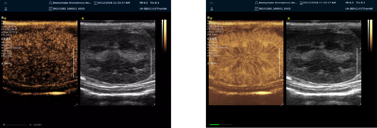
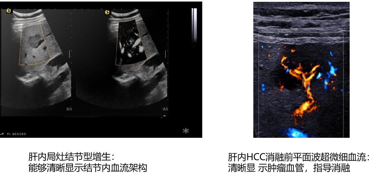
平面波超微细血流显像   

能够提供更多真实的组织细小及末梢血管的血流信息,直观的观察组织内部的血管架构及血流形态的情况,提供临床更多有价值的诊断信息。

临床应用:

肿瘤鉴别诊断(肝脏、肾脏、甲状腺、乳腺、  涎腺等)

淋巴结评价(炎症、肿瘤)

肌骨系统临床诊断和疗效监测(关节、滑膜、韧带、肌肉炎症、 损伤等)

斑块内新生血管评估

超声介入术前进针方案提供血流参考信息

超声介入术后疗效评估

image.png

image.png

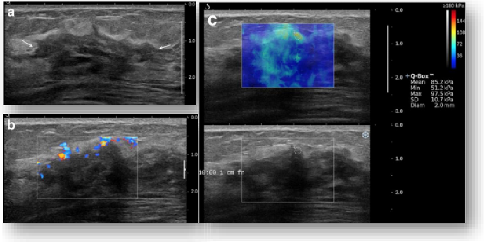
实时剪切波弹性成像

评估组织的软硬,并且提供定量数值,从而提示组织的良恶性。

image.png

鉴别诊断、精准分级、定量评价、穿刺引导、疗效评估、随访观察


image.png

恶性占位常常向周边组织进行侵润及扩散,二维很难观察到浸润部分的边界。使用实时剪切波成像能够对占位及周边组织进行硬度评估,通过颜色编码来区分不同组织的硬度信息,直观的观察占位组织的边界信息,更方便区分占位组织和正常组织的边界,准确评估消融范围。

image.png


左图病例所示:

钼靶阴性,B型发现非肿块病变

剪切波弹性成像见明确的硬度增高区域。

穿刺及手术病理结果:浸润性导管癌(IDC)



非肿块型病变:B型图像无法确认病变范围,E成像帮助发现异常区域和评估

多模态复合成像

image.png与传统单一成像模式相比,多模态复合成像技术能在同一幅图像中同时呈现二维组织信息、组织血管结构及其分布,以及组织硬度信息。这种成像方式使医生能够更直观地观察病变组织的解剖结构、血液供应和硬度状况,从而为临床治疗方案的制定提供更具体、形象的参考。

image.png

 

声速定量成像

作为一种新兴的超声成像技术,为医学诊断和生物医学研究提供了重要的信息。利用声波在不同组织中的传播速度差异,测量每个部位的声速,并将测出来的声速通过彩色编码进行显示,生成反映组织物理特性的图像(即声速成像图),对于疾病的早期检测、诊断和治疗评估具有重要的意义。

声速定量成像给临床提供了全新的诊疗思路及工具。 

image.png


超声造影

image.png

医生可以更准确地识别和评估肿瘤、炎症、血栓等病理变化,从而提高诊断的准确性和可靠性

可以实现实时监测,特别是在手术过程中,帮助医生即时评估治疗效果和发现潜在问题

可以提供关于血流动力学的重要信息,例如评估血管的通畅性、血流速度和分布情况,这对于诊断动脉硬化、栓塞等疾病非常有帮助

智能介入解决方案-----  穿刺针增强技术

?指示针尖位置、提高针道显示

?穿刺针智能彩色map,有效区分针尖与神经肌腱组织,

   尤其在热消融时空化组织不影响针尖显示

?无磁导航:精准制导、自动追踪

?智能识别、路径预判

--引导延长线随针尖转动实时偏转

image.pngimage.png

肿瘤治疗未来的发展方向

1. 人工智能和机器学习:

   - 利用AI和机器学习算法分析大量数据,提高图像识别和分析的准确性。- 开发智能辅助诊断系统,帮助医生快速识别病变区域。

2. 高频率和高分辨率超声:

   - 研发更高频率的探头,以获得更清晰的组织和血管图像。- 改进信号处理技术,减少噪声和伪影的影响。

3. 功能性超声:

   - 开发功能性超声技术,可以评估组织的生理功能,如血流动力学变化。- 结合生物标记物,提供更丰富的诊断信息。

4. 便携式和微创超声设备:

   - 开发小型化、便携式的超声设备,方便在各种环境中使用。- 研究微创超声技术,减少对患者的侵入性,提高舒适度。

5. 多模态融合技术:

   - 进一步发展多模态融合技术,将超声与其他成像模式(如MRI、CT)结合,提供更全面的诊断信息

   - 开发一体化成像平台,实现数据的无缝传输和共享。

百乐博平台医疗将持续开拓创新,深度融合人工智能技术,利用生物标志物,拓展更广泛的诊断应用,以增强在肿瘤治疗领域的影响力。致力于提升诊断精确度和治疗效果,造福更多患者,回馈社会。







?:400-0628060 ?:esonic@esonicimage.com

:百乐博平台影像-ESI

COPYRIGHT? 百乐博平台影像  京ICP备2022002181号-1

药品医疗器械互联网信息服务备案:(京)网药械信息备字(2025)第 00057 号