esonic@esonicimage.com
首页 > 临床学术中心 > 腹部 > 肾脏
析“微”查异,识“微”见远

百乐博平台医疗的eHertz系列彩色多谱超声诊断系统凭借强大的RawVision?原数精准平台和SDBeam?软波声束合成技术推出专属的mFlow ?超微血流显像技术,该项技术可专用于极低速血流成像。

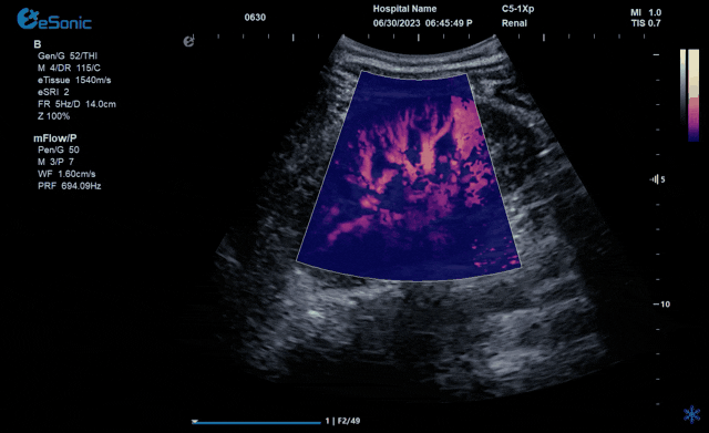
彩色多普勒血流(CDFI)检查时,通常会将滤波器的频率设置为大约50hz,并随时调整标尺和增益,以便在背景噪声发生前显示小血管,mFlow? 具有更丰富的血流信号,使观察者能够检测到一些CDFI无法观察到的血流信号。

从影像学原理来看,低速血流检测的主要困难在于受血管周围的运动的影响。为了消除组织运动中的伪影,彩色多普勒血流显像采用壁滤波器。然而,此时微血管和低速血流与病变的临床信息也会被过滤。因此,CDFI只能显示直径最低大约0.2mm的血管和相对高速的血流。为突破这一困境,mFlow? 超微血流显像技术采用了一种更智能和独特先进的算法,能够有效地区分组织运动和血流运动产生的多普勒信号。mFlow? 应用更高的信噪比显示极低速血管和血流,由此可以检测到直径大约0.1mm左右的血管和速度低于1cm/s的血流。mFlow?技术不仅仅局限于线阵探头,在其他应用的探头中也有搭载,同时具备多种显示模式和方向的显示。可对极低速的血流速度进行测量和定量血管指数。大家可以把mFlow?应用到更多的临床疾病中去,让这项技术给广大临床医生带来更多的帮助。


↓不同模式下肾脏微血流动态图↓


肾.gif

肾2.gif

上一条:暂无 下一条 : 开启肾移植微观视界 | 百乐博平台黑科技为您“移”路护航

?:400-0628060 ?:esonic@esonicimage.com

:百乐博平台影像-ESI

COPYRIGHT? 百乐博平台影像  京ICP备2022002181号-1

药品医疗器械互联网信息服务备案:(京)网药械信息备字(2025)第 00057 号