esonic@esonicimage.com
首页 > 临床学术中心 > 腹部 > 肾脏
开启肾移植微观视界 | 百乐博平台黑科技为您“移”路护航



你知道吗?我们身体里的肾脏可重要了!

每天,要过滤约150升血液,相当于300瓶矿泉水!


肾.jpg
肾2.jpg

这个"超级滤芯",不仅能排出毒素、调节血压,还负责维持电解质平衡。一旦肾脏罢工引发尿毒症,体内毒素会像"堵车"的垃圾车一样堆积,引发全身器官衰竭。此时,肾移植便成为重启生命的关键选择。




肾移植小知识

关于肾移植的五个真相



1. 不是换肾而是加肾:90%的移植肾会被放置在右髂窝(下腹部),原有肾脏通常保留;

2. 手术门槛高:需通过"三关考验"——年龄≤65岁、无活动感染、心肝肺功能达标;

3. 配型如配对:血型需相容,HLA(人类白细胞)抗原匹配度越高,排异风险越低;

4. 终身防排异:身体可能排斥新肾,需密切监测排尿、血压等指标,术后需每天服用抗排异药;

5. 存活率惊人:1年存活率达95%,10年存活率约60%。(数据来源:中国肾移植科学登记系统)

c53a1892e4fe54c8b49e47e92df887bc-sz_24432.jpg





超声

肾移植的"全天守护保镖"

全程无创、实时监测,三阶段保驾护航

术前:侦察兵,给移植路线"探路"   

1) 探查髂血管,测量血管内径,观察是否畅通;

2) 评估供肾质量,微循环情况,并排除肾囊肿/结石/肿瘤等病变;

术中:导航仪,实时监测为手术保驾护航 

1) 实时查看血管吻合情况,确保新肾"通电"后动、静脉血流是否畅通;

2) 监测肾门处血流频谱及时干预血栓的形成,减少术后血管并发症的发生率;

3) 观察肾皮质的血流灌注情况,评估肾移植的成功率。

术后:监护仪,做好新肾的"健康管家" 

1) 术后24小时全天监测新肾大小和血流,预警血栓,积水等并发症;

2) 术后7日追踪,每天监测集尿系统,发现积水立即置管;

3) 长期跟踪随访,评估肾脏状态,是否存在慢性排异或药物毒性;

术后并发症

看不见的危机

开启肾移植微观视界 | 百乐博平台黑科技为您“移”路护航(图4)
开启肾移植微观视界 | 百乐博平台黑科技为您“移”路护航(图5)

在肾移植领域,医生最怕的不是手术刀下的惊心动魄,而是那些手术后肉眼看不见的危机——急性排斥反应导致的血小板聚集形成的微血栓、毛细血管网损伤等...这些“隐形杀手”曾让无数移植肾在悄无声息中衰竭。而百乐博平台医疗(ESI)的iPlane Vascular平面波超微细血流显像技术,正是为破解这一难题而生。

黑科技登场

开启移植肾的"微观视界"

这项革命性技术通过三大创新实现质的飞跃:

1) 基于OmniSound?平面波超快速平台,超声信号采集帧频提高了200倍(25000Hz)。

2) 可检测20-50μm级细小血管低速血流信号,能看清头发丝1/2粗细的微血管;

3) 通过血管指数(VI)定量评估局部血管密度,以定量化数据实时监测血流灌注情况,预判肾功能恢复情况;

开启肾移植微观视界 | 百乐博平台黑科技为您“移”路护航(图6)

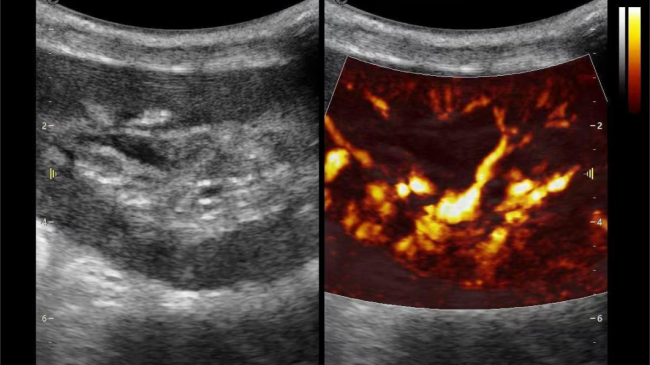
超微视血流显像显示肾脏五级血管

开启肾移植微观视界 | 百乐博平台黑科技为您“移”路护航(图7)

微米级超高分辨率血流信号显像

开启肾移植微观视界 | 百乐博平台黑科技为您“移”路护航(图8)

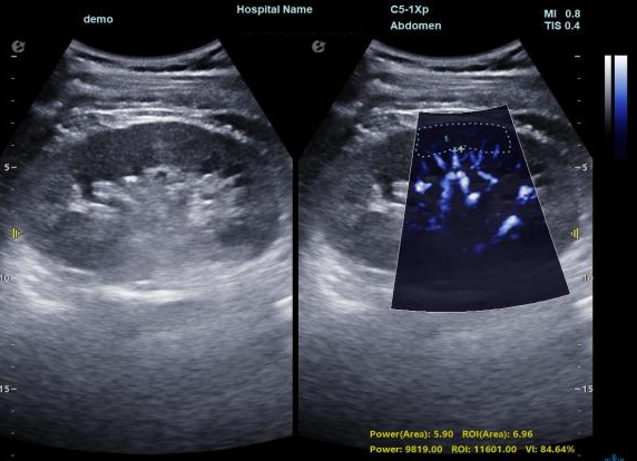
肾脏的灌注评估,RI/VI量化数据

开启肾移植微观视界 | 百乐博平台黑科技为您“移”路护航(图9)
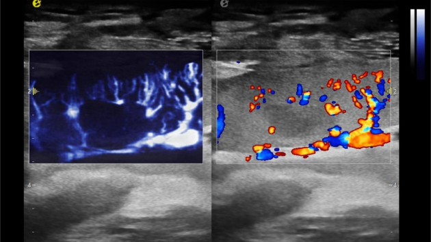
开启肾移植微观视界 | 百乐博平台黑科技为您“移”路护航(图10)
开启肾移植微观视界 | 百乐博平台黑科技为您“移”路护航(图11)

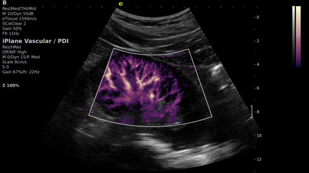
超微视血流显像评估肾移植术后灌注情况

这一项无创、无辐射操作简便且无需造影剂的黑科技,相当于用"高速摄像机"记录血液细胞的运动轨迹,让血管并发症"无处遁形。

结语

从术前评估到术中到术后,再到终身监护,当20-50μm级的超微血流信号在屏幕上跳动,我们看到的不仅是技术的精进,更是生命的律动。iPlane Vascular正在重新定义肾移植监护的标准——让医生拥有了"显微视力",让每一个微小血管的异常都无所遁形,让每一次免疫排斥的萌芽都被及时扼制。

用微观世界的突破,守护宏观人生-生的希望--这或许就是百乐博平台医疗科技对生命最深的敬意。


上一条 : 析“微”查异,识“微”见远 下一条:暂无

?:400-0628060 ?:esonic@esonicimage.com

:百乐博平台影像-ESI

COPYRIGHT? 百乐博平台影像  京ICP备2022002181号-1

药品医疗器械互联网信息服务备案:(京)网药械信息备字(2025)第 00057 号